News

Cook Medical endovascular grafts recalled due to risk of coating breaking off, entering patient’s bloodstream.

Customers are urged to examine their inventory, quarantine any unused products and return them to the manufacturer. 

Congress Money washington DC legislation coverage payment

Healthcare policies have rapidly evolved in recent years, and 2025 was no exception. From payment policies to physician shortages, ASE and other medical societies had plenty to fight for throughout the year.

heart surgery cardiac surgeons

There is a risk that these catheters will fail to retain their shape during use, causing procedure delays and creating the risk of an adverse outcome. The FDA first warned users about the issue back in August.

FDA recall medical device recall product recall

Three patient deaths have been linked to connectivity issues with these devices. The FDA has classified this as a Class I recall.

Prenuvo MRI

Sean Clifford filed the lawsuit Sept. 24, 2024, in the New York State Supreme Court, contending a radiologist failed to spot signs of a forthcoming stroke.   

insurance insurer payment claim denial reimbursement prior authorization

This utilization management tactic disproportionately affects specialties such as diagnostic radiology, radiation oncology and cardiology. 

IV hospital room intravenous drip solution

As IR procedure volumes continue to climb, coupled with anesthesiology provider shortages, there is growing interest in achieving “deeper, more reliable sedation.” 

healthcare surprise billing statement payment

A new analysis claims the “benchmark” qualifying payment amount insurers calculate often “dramatically” understates the actual median in-network rates they are paying for in-network care.  

Cloud computers

Enlitic's Laitek acquisition revolutionizes imaging data migrations with standardization, enhancing data quality and PACS value. This approach corrects and consistently labels studies, simplifying configuration. It transforms the migration landscape. For more details visit enlitic.com
 

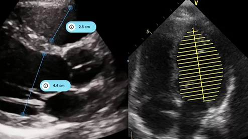
The iCardio.ai EchoMeasure AI software to automate measurements for cardiac echo imaging. It was FDA cleared in October 2024.

iCardio.ai, co-founded by a cardiologist, is part of the Cedars-Sinai Accelerator program. The startup has already announced new partnerships with Viz.ai, Abbott and others in the cardiac health space. 

artificial intelligence technology ai in healthcare

Johnson & Johnson goes full transparency on AI. 

Rep. Mariannette Miller-Meeks, MD, R-Iowa

“The overwhelming, bipartisan support is a testament to the importance of fixing this issue," said Rep. Mariannette Miller-Meeks, MD, R-Iowa, who led the letter-writing effort. 

Around the web

Customers are urged to examine their inventory, quarantine any unused products and return them to the manufacturer.