News

Statue of Liberty New York City healthcare

A federal judge dismissed a lawsuit from Texas Attorney General Ken Paxton, who sought an injunction against abortion medications being shipped to women in his state.

Shockwave Medical Javelin Peripheral IVL Catheter

The new findings, presented during a late-breaking presentation, focused on 110 PAD patients treated with Shockwave Medical's Javelin Peripheral IVL Catheter.

startup business healthcare medtech heart

Tulyp Medical, a French medtech startup, has emerged from stealth focused on securing FDA clearance for a patented perfusion device.

self checkout

Not long ago, physicians and grocery clerks had a key duty in common: ‘connective labor.’  Today barcode reading machines sweep you through the checkout. And AI can handle most of your health questions. 

Dexcom is recalling a specific version of the Android smartphone app associated with its G6 Continuous Glucose Monitoring (CGM) System.

Dexcom recalled its G6 smartphone app after a software error was causing it to stop working with no warning. This is a Class I recall, which means failing to follow the company's instructions could result in a serious adverse event.

Drugs money scam

Merck was the No. 1 funder for radiologists, contributing nearly $108 million in payments, followed by imaging manufacturer Siemens Healthineers ($64 million) and drugmaker Novartis ($57 million). 

wisconsin baldwin rural healthcare

Five Northern California critical access hospitals are banding together to share a mobile MRI unit across three counties. 

NYC Health + Hospitals

The country’s largest municipal healthcare system aims to bring imaging services "directly into the community" to eliminate barriers to care, reduce wait times and detect diseases earlier.  
 

A study that analyzed patient outcomes in coronary artery bypass grafting (CABG) in veterans showed outcomes for on-pump and off-pump procedures over 10 years to be similar. Photo by Jim Lennon

Excessive stress may still be harmful to a surgeon's performance, researchers warned, but moderate stress early on during a procedure appears to reduce the odds of a major complication. 

Thumbnail

Recent projections could create an environment of unprecedented demand for nuclear imaging.

Video of Steve Rankin, chief strategy officer for Enlitic, explaining how AI can help standardize labeling of medical images.

To fully leverage today's radiology IT systems, standardization is a necessity. Steve Rankin, chief strategy officer for Enlitic, explains how artificial intelligence can help.

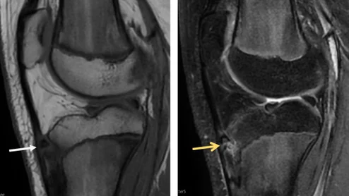
MRI of knee with Osgood-Schlatter Disease

The condition can worsen with physical activity, which is why an accurate and timely diagnosis is important for healthy growth. 

Around the web

A federal judge dismissed a lawsuit from Texas Attorney General Ken Paxton, who sought an injunction against abortion medications being shipped to women in his state.

The new findings, presented during a late-breaking presentation, focused on 110 PAD patients treated with Shockwave Medical's Javelin Peripheral IVL Catheter.

Tulyp Medical, a French medtech startup, has emerged from stealth focused on securing FDA clearance for a patented perfusion device.