News

Computer frustration

When AI fails to thrive in healthcare, the problem is usually not with an algorithm. It’s with something deeper. Three unrelated opinion pieces authored by far-flung subject matter experts hit on this theme just this week. 

U.S. FDA Sign

Regulators said the shortages of neurosurgery devices are likely to extend until the end of the year. Medline recalled its neurosurgical patties due to a potential toxicity issue. The FDA said it's looking for alternatives. 

I Robot

The digital entity gave at least one end-user a phony medical-license number. Unfortunately for the chatbot, that end-user was a state investigator. 

Emergency Department room ED ER EM

When patients land in the emergency room, a history of cannabis use may increase their risk of an adverse outcome.

Kevin Accola, MD, a cardiac surgeon at Advent Health in Orlando, Florida, explains the 10-year results from the COMMENCE aortic trial that shows long-term durability and sustained performance of its Resilia surgical aortic valve. The data were presented at the American Association for Thoracic Surgery (AATS) 2026 annual meeting this week. #AATS #AATS26 #AATS2026

Kevin Accola, MD, spoke to Cardiovascular Business about new 10-year data on the performance of surgical valves featuring Resilia tissue. The findings are good news for Edwards Lifesciences, which also includes the tissue on many of its TAVR devices.

CCTA characterization of a chronic total occlusion with angiographic correlation during percutaneous coronary intervention.

Researchers reviewed dozens of studies to evaluate the long-term value of using CCTA guidance to perform PCI on patients with complete blockages.

Heartflow Video

As precision cardiology continues to evolve, the integration of advanced coronary computed tomography angiography (CCTA) and AI-driven analysis is fundamentally changing how we assess and manage coronary artery disease (CAD). Here is a closer look at how Heartflow Plaque Staging is leveraging Total Plaque Volume (TPV) to stratify patient risk.

Society of cardiovascular computed tomography (SCCT) President Kavitha Chinnaiyan, MD, FACC, MSCCT, a cardiologist and professor of medicine at Oakland University William Beaumont School of Medicine in Royal Oak, with is part of Corewell Health, explains some of the key trends in coronary computed tomography angiography (CCTA) and how this is being translated into educational programming at the SCCT 2026 annual scientific meeting (ASM). #SCCT2026

As CCTA sees rapid adoption across cardiology, SCCT is working to address the education required to sustain the expansion.

American Medical Association (AMA) Board of Trustees Member Scott Ferguson, MD, FACR, a diagnostic radiologist, explains the concern AMA has over the large number of rural hospitals closing and the shrinking access to medical care across large swaths of the U.S. He said the Big Beautiful Bill passed by Congress in July 2025 will likely accelerate closures.

American Medical Association (AMA) Board of Trustees Member Scott Ferguson, MD, explains the concern that a large number of rural hospitals will close under the massive Medicaid cuts in the "Big, Beautiful Bill" passed by Congress in July 2025.  

HeartFlow Plaque Analysis Example

The use of advanced AI software to assess CCTA images continues to gain more momentum.

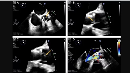
The new guidelines detail the use of echocardiography to evaluate patients for a variety of conditions.

Senator Patty Murray

The influential task force dictates whether health insurers must cover preventive services such as mammograms and low-dose CT lung exams, which some say could be in jeopardy. 

Around the web

When AI fails to thrive in healthcare, the problem is usually not with an algorithm. It’s with something deeper. Three unrelated opinion pieces authored by far-flung subject matter experts hit on this theme just this week. 

Regulators said the shortages of neurosurgery devices are likely to extend until the end of the year. Medline recalled its neurosurgical patties due to a potential toxicity issue. The FDA said it's looking for alternatives. 

The digital entity gave at least one end-user a phony medical-license number. Unfortunately for the chatbot, that end-user was a state investigator.