News

Philips has secured U.S. Food and Drug Administration (FDA) clearance for EchoNavigator R5.0 with DeviceGuide, the company’s artificial intelligence (AI)-enabled software for mitral transcatheter edge-to-edge repair (M-TEER).

Philips worked closely with Edwards Lifesciences to develop the new software.

XCath Robotics, a Houston-based medical robotics company, announced the successful completion of the world’s first telerobotic stroke operation of its kind. Neurosurgeon Vitor Mendes Pereira, MD, chair of advanced neurovascular interventions at the University of Toronto, used the XCath Iris Surgical Robotic System to perform the historic procedure.

Neurosurgeon Vitor Mendes Pereira, MD, was in Santiago, Panama, but his patient was in Panama City. "It is the highlight of my career to be involved in this historic achievement," Pereira said.

doctor comparing the costs of different medical treatments

The ramifications of the conflict in the Middle East may soon extend beyond the gas pump and into the healthcare sector, experts are cautioning. 

female patient speaking with a doctor

Starting menopause before the age of 40 could increase a woman's lifetime risk of coronary heart disease by up to 40%.

heart ice cool cold freezing frozen

While heat consistently gets more attention in terms of public health messaging, new data show just how dangerous the cold can be.

troubled by ethical dilemma decision

Almost two in five physicians suffered moral distress in the two weeks leading up to their being asked about it by researchers. That was a markedly larger slice than the team observed in the general U.S. working population. 

Cryoablation treatment for inoperable non-small cell lung cancer

New findings suggest that the procedure offers effective local control and a favorable safety profile for patients with medically inoperable stage 1A non-small cell lung cancer.

Thumbnail

Gadolinium-153, or Gd-153, is routinely used to calibrate nuclear imaging equipment. It has been in short supply since 2023 when global distribution of the radioisotope came to a halt. 

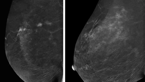
BPE on contrast-enhanced mammograms.

New trial results suggest CEM could enhance breast cancer detection beyond DBT exams when patients are faced with barriers to obtaining an MRI.

SS Innovations International SSi Mantra 3 robotic surgery system

The company's SSi Mantra 3 robotic surgery system has already gained regulatory approvals in several countries. FDA approval is anticipated by late 2025 or early 2026.

This problem doesn't just affect imaging staff but all healthcare workers, one organization cautions.

Drugs money scam

Janmarie Lanzo is charged with conspiracy to violate the Food, Drug, and Cosmetic Act and defraud the FDA, according to the indictment. 

Around the web

Philips worked closely with Edwards Lifesciences to develop the new software.