News

UnitedHealthcare UHC UnitedHealth

Starting in 2026, patients covered by UnitedHealthcare's Medicare Advantage and commercial plans will not have care reimbursed for instances of remote patient monitoring unless they have diagnosed heart failure or are pregnant and experiencing hypertension. The shift stands at odds with traditional Medicare, which added new claims codes for providers to use next year.

Waymo Creative Commons Image

Nasser Mohamed, MD, a neurologist who operates a clinical practice in San Francisco, said an artificial intelligence system used by the autonomous taxi company led to him being denied multiple rides. He is seeking injunctive relief.

radiology reporting EHR health record CDS AUC

Conductor is a platform of AI-enabled agents that can read clinical documents and orders, call patients and orchestrate appointments.

pharmaceutical drug approval process

When the FDA approved elamipretide for the treatment of Barth syndrome, not everyone agreed with the agency's decision. 

Eating unsalted peanuts improves the brain's vascular health

Consistently incorporating unsalted peanuts into a person’s diet enhances cerebral blood flow to multiple brain regions. 

llama meta zuckerberg

The Zuckerbergs have many billions to give away. They want to shower a lot of it on researchers using AI to cure diseases.

Carlos Collet, MD, PhD, director, cardiovascular imaging, physiology and translational therapeutics, Cardiovascular Research Foundation, explains how noninvasive coronary CT angiography (CCTA) assessments will play a major role to eliminate invasive diagnostic angiography and to pre-plan percutaneous coronary intervention (PCI) procedures.

Noninvasive coronary CT angiography is growing more and more important as time goes on, helping cardiologists make critical treatment decisions. Carlos Collet, MD, PhD, discussed the technique's potential to be a real game-changer for patient care in a new interview. 

sleep bed insomnia awake

Taking melatonin for a year could increase a person's risk of developing heart failure by 90%. While more research is still needed to confirm these findings, the data suggest patients should think twice about relying on melatonin to sleep. 

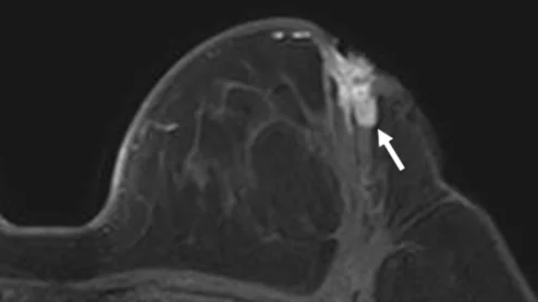
Pre-operative breast MRI improves outcomes in younger women with breast cancer

Advanced imaging among this patient population could help radiologists better understand the risk of potential cancer recurrence. 

Thumbnail

Despite the ongoing government shutdown, some 3,000 Centers for Medicare & Medicaid Services staff will be returning to the office just in time for Americans to begin looking for health coverage on the Affordable Care Act marketplace. The agency said the employees will be paid for the days they work. 

Thumbnail

The treatment can offer patients a more potent, cost-effective alternative providing long-lasting relief compared to current pain regimens.

dental floss

Regularly going to the dentist, researchers added, may reduce cardiovascular risks by a significant margin.

Around the web

Starting in 2026, patients covered by UnitedHealthcare's Medicare Advantage and commercial plans will not have care reimbursed for instances of remote patient monitoring unless they have diagnosed heart failure or are pregnant and experiencing hypertension. The shift stands at odds with traditional Medicare, which added new claims codes for providers to use next year.

Nasser Mohamed, MD, a neurologist who operates a clinical practice in San Francisco, said an artificial intelligence system used by the autonomous taxi company led to him being denied multiple rides. He is seeking injunctive relief.

Conductor is a platform of AI-enabled agents that can read clinical documents and orders, call patients and orchestrate appointments.