News

heart data AI algorithm cardiologist doctor

San Diego-based Vektor Medical first secured FDA clearance for the AI-powered technology back in 2021. This updated announcement covers the latest version, which includes atrial flutter mapping and several other new features.

President Trump

State-level regulation of AI: President Trump has turned his thinking into action.

Arnold Seto, MD, MPA, FACC, FSCAI, cath lab director, Long Beach VA Medical Center, professor of medicine at Charles Drew University, Society for Cardiovascular Angiography and Interventions (SCAI) treasurer and chair of the SCAI Advocacy Committee, explains changes in payment policy are making ambulatory surgical centers (ASC) and office based labs (OBL) more attractive to both cardiologists and larger health systems.

ASCs have their limitations, but they are also associated with several benefits for cardiologists and patients alike.

Back in 2024, the FDA advised customers to transition away from the two devices and find alternative treatment options. These most recent recalls focus on a series of maintenance issues that have already been addressed.

According to Heartflow, its AI offering saves health systems nearly $1,400 per patient thanks to reductions in unnecessary cardiovascular testing.

voice audio recording smartphone

According to attorneys representing a potential class action of plaintiffs, Sharp HealthCare was not forthcoming about its use of a tool for automatic note-taking. The technology allegedly captures everything said in an exam room, including sensitive details on diagnoses, and sends it to an offsite server.

Thumbnail

President Donald Trump wants to establish an AI Litigation Task Force to challenge any AI laws that may “harm innovation.” 

stock market nasdaq bulls and bears

“Going public is not a finish line. It’s the beginning of our next chapter,” CEO Caitlin Zulla, MPH, said in prepared remarks Dec. 11. 

artificial intelligence AI in government

The White House’s Office of Management and Budget recently released final guidance for the use of AI by executive-branch departments and agencies.

Thumbnail

In a letter dated May 20, a number of medical associations and physicians groups ask the OCR to force UnitedHealth Group to follow through on notifying patients that their data was taken by hackers.

doctor in handcuffs after being arrested

Desi Barroga and Deno Barroga allegedly prescribed opiates to patients in exchange for false statements to insurers.

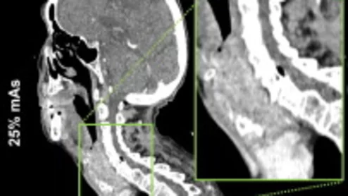
deep learning algorithm slashes radiation dose during neck CT scans

And the dose reduction can be achieved without sacrificing image quality, a new analysis shows.

Around the web

San Diego-based Vektor Medical first secured FDA clearance for the AI-powered technology back in 2021. This updated announcement covers the latest version, which includes atrial flutter mapping and several other new features.

State-level regulation of AI: President Trump has turned his thinking into action.

ASCs have their limitations, but they are also associated with several benefits for cardiologists and patients alike.