News

Clouds over Congress

Democrats want to keep Obamacare going. Republicans want to replace it, ideally with health savings accounts. Regardless of which approach holds sway this week—or whenever—either one would be woefully shortsighted. 

business marketing meal lunch food group project team building

Hospitals located in more competitive markets may be more likely to perform TAVR instead of SAVR, according to a new analysis of more than 130,000 patients. Is this a reason for concern?

American Society of Echocardiography (ASE) President David H. Wiener, MD, FACC, FAHA, FASE, director of clinical operations at the Jefferson Heart Institute, and a clinical professor of medicine at Thomas Jefferson University, explains the growing number of multimodality cardiac imaging experts and how imaging societies need to change to meet their needs.

ASE President David Wiener detailed some of the many ways imaging societies need to adapt now that so many imagers are specializing in multiple modalities. It may be time to change how annual conferences are scheduled, for example, so that the costs of travel are easier to manage.

elephant trunk (FET) technique to treat a middle-aged heart patient, sharing their experience in JACC: Case Reports.[1] This is believed to be the first time surgeons have ever employed this particular approach.

When the devices needed for a specific procedure were not available, a group of surgeons got creative. Their one-of-a-kind approach was a success, and the patient has experienced no complications.

statue justice legal verdict malpractice case lawsuit scale

In 2024, a Denver cardiologist was sentenced to 158 years to life in prison for drugging and sexually assaulting multiple women he met through online dating apps. Six of his victims have now filed a civil lawsuit that claims the apps are “hospitable to serial predators.”

Herbert D. Aronow, MD, MPH, FACC, FSCAI, FSVM, medical director, heart and vascular service line and the Benson Ford Chair in Cardiology at Henry Ford Health, member of board, Society for Cardiovascular Angiography and Interventions (SCAI), the explains how hospitals can set up renal denervation (RDN) programs and how the reimbursement landscape is changing with new Medicare coverage.

Herbert D. Aronow, MD, reviewed the many ways the reimbursement landscape is changing thanks to new Medicare policies. “This is a really exciting time in the renal denervation space," he said. 

Medicare Advantage

Over 125 medical societies including several in radiology wrote to leaders in the House and Senate on Dec. 9, asking them to pass the Improving Seniors’ Timely Access to Care Act. 

Weill Cornell Medicine recently explored the impact of meal-time outings in fostering physician job satisfaction, empathy and sense of connection. 

physician with patient

Physicians love AI scribes. Has anyone thought to ask patients what they think?

cybersecurity hacker ransomware cyber data breach

The January 2024 incident at Group Health Cooperative of South Central Wisconsin had all of the hallmarks of a ransomware attack, with an unknown cybercrime group taking credit in a letter to the payer. In total, 533,000 people were impacted by the data breach.

Thumbnail

The Pennsylvania-based drug distributor announced it would be buying OneOncology, a physician-led specialty service group in which it already owned a minority stake. The company said the acquisition will complement its "pharmaceutical-centric strategy." 

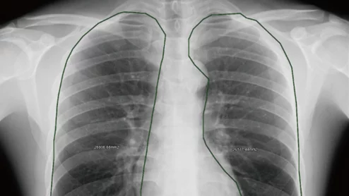
Dynamic chest radiography could be an alternative to pulmonary function tests for diagnosing COPD

The X-ray technique uses continuous radiographic acquisition during respiration to assess lung function.

Around the web

Democrats want to keep Obamacare going. Republicans want to replace it, ideally with health savings accounts. Regardless of which approach holds sway this week—or whenever—either one would be woefully shortsighted. 

Hospitals located in more competitive markets may be more likely to perform TAVR instead of SAVR, according to a new analysis of more than 130,000 patients. Is this a reason for concern?

ASE President David Wiener detailed some of the many ways imaging societies need to adapt now that so many imagers are specializing in multiple modalities. It may be time to change how annual conferences are scheduled, for example, so that the costs of travel are easier to manage.